10.9級六角頭螺栓失效分析測試
10.9級六角頭螺栓,規格為M10×70mm,40Cr鋼制作,裝配時發生斷裂。
15.2.1 試驗過程與結果
斷裂件斷裂部位位于螺紋部分,斷口附近塑性變形明顯,有頸縮現象,宏觀形貌見圖15-6。
斷裂件斷口較灰暗,成纖維狀;有較大的塑性變形區域,粗糙的區域為最后斷裂區的瞬斷區,斷口具有扭斷斷口特征,箭頭指處為最后扭斷區,宏觀形貌見圖15-7。
圖15-6 斷裂件宏觀形貌
圖15-7 斷口宏觀形貌
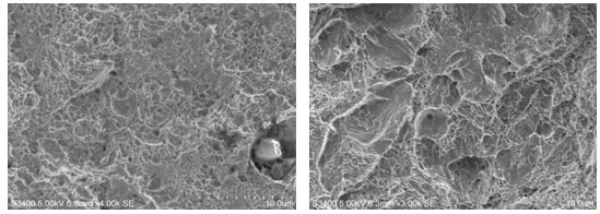
采用掃描電鏡觀察,斷口的微觀形貌為韌窩形貌;
變形區域的韌窩具有明顯的方向性,見圖15-8;
瞬斷區的韌窩形貌,見圖15-9。
圖15-8 變形區域的韌窩 圖15-9 瞬斷區的韌窩
在斷裂件斷口附近取樣進行金相組織和脫碳檢查:
斷裂件金相組織為回火索氏體組織,見圖15-10。
斷裂件脫碳試驗,依據《GB/T3098.1-2000》標準方法,脫碳試驗結果均符合標準要求
圖 15-10 回火索氏體組織
用光譜法對斷裂螺栓進行化學成分分析,分析結果,各元素成分含量均符合《GB/T 3077-1999》40Cr鋼標準要求。
對斷裂螺栓進行心部硬度檢測,技術要求為320 HV10,檢測結果為365~380 HV10,符合《GB/T3098.1-2000》標準要求。
取與斷裂螺栓同批號未使用過的螺栓3件,進行拉伸試驗,拉伸試驗結果,抗拉強度為1140MPa~1130MPa,符合10.9級強度等級要求。
15.2.2 分析與討論
斷裂件在螺紋處斷裂,有塑性變形和頸縮現象,斷口具有扭斷斷口特征。
斷裂件斷口微觀形貌均為韌窩狀塑性變形特征,有回旋狀塑性變形痕跡,螺栓塑性變形區韌窩方向性明顯,說明其斷口是以扭轉為主的斷口。
變形主要集中于縮頸附近。所以縮頸現象一方面說明螺栓有良好的塑性和韌性,同時說明服役載荷已超過試樣抗拉強度。韌窩表明材料有良好的塑性和韌性。
斷裂螺栓化學成分、顯微組織、硬度和螺紋脫碳試驗的檢測結果均符合10.9級強度等級要求,其同批螺栓的抗拉強度也符合10.9級強度等級要求,因此判斷螺栓斷裂不是因材料強度不足產生的斷裂,而是由于螺栓承受的載荷過大所產生的過載扭轉斷裂。
螺栓安裝時受較大的安裝應力作用,安裝載荷過大造成過載扭轉斷裂。
15.2.3 結論與啟示
(1)螺栓的斷裂是由螺栓安裝過載引起的斷裂。
(2)在安裝時要控制好安裝應力,防止安裝應力過大造成扭轉斷裂。
(3)制定合適的安裝工藝,安裝時采用限力扳手安裝。






浙公網安備 33042402000106號 a>

