電鍍螺栓斷裂失效分析檢驗
40Cr齒輪箱端電鍍螺栓,規格為M10,等級為8.8級。螺栓用于連接某齒輪箱端蓋,在服役一段時間后螺栓頭部掉落。
斷裂螺栓的斷面平坦,一側已被磨平,斷口附近無明顯宏觀塑性變形,斷裂面邊緣可見碰傷痕跡,見圖11-93所示。
圖11-93 斷裂螺栓宏觀形貌
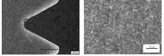
斷裂面掃描電鏡觀察,斷裂面邊緣存在疲勞條帶,見圖11-94。
圖11-94 斷面宏觀形貌
采用直讀光譜法對螺栓進行化學成分分析,分析結果化學成分符合40Cr材料的技術要求。
對螺栓進行金相檢查,螺栓表面有脫碳,見圖11-95。
螺栓心部金相組織,為回火索氏體,見圖11-96。
圖11-95 螺栓表面脫碳組織 圖11-96 螺栓心部金相組織
對螺栓進行表面硬度梯度及心部硬度試驗,表面硬度梯度,見圖11-97;心部硬度梯度,見圖11-98。
圖11-97 表面硬度梯度 圖11-98 心部硬度梯度
螺栓化學成分、表面及心部硬度均符合《ISO 898-1-2009》相關要求;金相組織正常,說明螺栓斷裂與材質和熱處理無關。
從斷口形貌可知,螺栓表面有輕微脫碳,斷口側面有碰傷痕跡,側面碰傷后在交變應力作用容易產生微裂紋。
斷面無明顯宏觀塑性變形,斷面有疲勞條帶,說明螺栓受到交變應力作用,側面碰傷后產生的微裂紋疲勞擴展;而導致螺栓疲勞斷裂。
根據以上分析,可以得出如下結論與啟示:
(1)齒輪箱端蓋螺栓的斷裂為疲勞斷裂。
(2)由于螺栓表面有輕微脫碳,桿部碰傷,碰傷處在交變應力作用產生微裂紋,裂紋疲勞擴展,最后疲勞斷裂。
(3)要防止螺栓熱處理脫碳,淬火時采用的保護氣氛應滿足工藝要求。





浙公網安備 33042402000106號 a>

