高溫合金螺栓常見金相分析
緊固件用高溫合金原材料的熱處理大多采用退火或固溶處理,處理后原材料硬度較低,適合頭部成型和機械加工,頭部成型和機械加工后進行時效處理,時效處理后強度和硬度達到技術要求,其金相組織要求是檢查晶粒度。
(1) A286合金原材料金相組織,晶粒度為6~7級,見圖5-50。
(2)GH2132合金原材料金相組織,晶粒度為8~9級,見圖5-51(a,b)。
圖5-51 GH2132原材料金相組織
(3) GH80A合金原材料金相組織,晶粒度為5~6級,見圖5-52(a,b)。
圖5-52 GH80A原材料金相組織
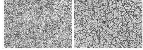
(4)GH141合金原材料金相組織,晶粒度為8~9級,見圖5-53(a,b)。
a 100× b 400×
圖5-53 GH141合金原材料金相組織
(5) GH3030合金原材料金相組織,晶粒度為8~9級,見圖5-54(a,b)。
圖5-54 GH3030原材料金相組織
(6) GH4049合金原材料金相組織,晶粒度為7~8級,圖5-55(a,b)。
圖5-55 GH4049原材料金相組織
(7)GH4698合金原材料金相組織, 晶粒度為6~7級,見圖5-56(a,b)。
(8) GH159原材料有冷拉和固溶兩種狀態金相組織。
冷拉狀態金相組織(a),晶粒度為3~4級,見圖5-57。
冷拉狀態金相組織,晶粒度為8~9級,見圖5-58(b、c)。
圖5-58 GH159合金原材料固溶后金相組織
GH159 原材料加工產品后不進行固溶熱處理,產品金相組織與原材料相同,性能保持原材料的冷變形強度(1500MPa左右),時效后略有提高。
經固溶熱處理后的原材料,金相組織為等軸組織,固溶后的強度與冷變形的強度相比,下降很多,約為1000MPa左右。
(9)GH4169合金原材料金相組織,晶粒度為8~9級,見圖5-59。
圖5-59 GH4169原材料金相組織
(10)GH738合金原材料金相組織,晶粒度為6~7級,圖5-60。
圖5-60 GH738原材料金相組織





浙公網安備 33042402000106號 a>

