自行車螺栓斷裂失效分析
10.9級SCM435制作的螺栓, 規格為M10,用于固定皮帶張緊輪,安裝扭矩55N•m,未采用防松措施,在車輛行駛幾百公里后斷裂。
圖11-181箭頭所示為殘留在安裝孔內的斷裂螺栓殘件。
圖11-181 斷裂螺栓及安裝位置
對斷裂件檢查,螺栓斷口宏觀形貌上可見斷裂源位于螺紋牙底,斷面平坦粗糙,表面除有少量氧化銹蝕外無其他明顯腐蝕產物和低倍缺陷,斷口無明顯宏觀塑性變形。
圖11-182為螺栓斷口宏觀形貌斷,圖11-183為斷裂螺栓宏觀形貌。
圖11-182 斷裂件斷口宏觀形貌 圖11-183斷裂件宏觀形貌
斷口掃描電鏡檢查,可見斷面位于螺紋牙底,表面粗糙,放射條紋不明顯,但隱約可見;斷口附近無明顯磨損擦傷痕跡和宏觀塑性變形,低倍形貌如圖11-184所示。
圖11-185所示為斷口一側邊緣的微觀形貌,可見該處存在較多輪輻狀臺階,為裂紋起始區,斷口外側邊緣無明顯碰傷或磨損痕跡。
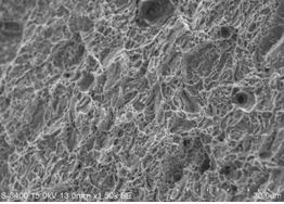
圖11-186、圖11-187所示為斷口中部的疲勞擴展區微觀形貌,可見典型疲勞條帶,疲勞條帶間距較小,約2~5μm。
圖11-188所示為斷面最后斷裂區的終斷區微觀形貌,可見明顯的韌窩形貌,該區域面積較小,不足整個斷面的10%。
圖11-184 斷口低倍形貌 圖11-185 斷面裂紋起始區微觀形貌
圖11-186 斷面裂紋擴展區微觀形貌 圖11-187 斷面裂紋擴展區微觀形貌
圖11-188 斷面終斷區微觀形貌
斷裂螺栓的心部金相組織檢查,為均勻的回火索氏體組織;螺紋部位的金相組織,碳勢正常,未發現缺陷。
斷裂螺栓的非金屬夾雜物檢查,根據《GB/T 10561-2005 鋼中非金屬夾雜物含量的測定標準》評定滿足技術要求。
斷裂螺栓硬度試驗結果:心部硬度 360、352、356 HV10;表面硬度 363、365、366 HV0.3;斷裂螺栓的表面與心部硬度滿足《GB/T 3098.1-2010》對于10.9級螺栓的要求。
采用直讀光譜法對螺栓進行化學成分分析,材質符合《JIS G4053-2003》標準中對SCM435鋼要求。
斷裂螺栓金相組織、化學成分、表面不連續性、表面及心部硬度等均符合標準要求,斷裂與材質無關。
斷口微觀形貌可見間距較窄的疲勞輝紋,但宏觀形貌未見海灘花樣,說明從疲勞裂紋萌生到螺栓斷裂經歷時間較短且服役環境未發生明顯變化。
疲勞源區位于螺紋牙底,源區可見明顯的輪輻臺階,說明疲勞性質為應力集中明顯的多源疲勞;終斷區面積不足整個斷面面積的10%,說明斷裂時螺栓承受應力較小。由此可知,螺栓承受交變載荷的次數較高但載荷不大,說明螺栓在斷裂前已經松動。
該斷裂螺栓在安裝后承受的載荷主要為軸向預緊力及皮帶輪張緊產生的剪切應力;當發動機運行時會產生較強的振動,在沒有采取防松措施的情況下螺栓容易松動,螺栓松動后將承受交變彎曲載荷,此類載荷是導致螺栓疲勞的重要形式。
盲孔邊緣為彎曲應力最大位置,而螺紋牙底又是應力集中部位,因此在該位置最先萌生疲勞裂紋,疲勞裂紋在交變載荷作用下不斷擴展,直至最終螺栓失穩斷裂。
根據以上分析,可以得出如下結論與啟示:
(1)螺栓的斷裂性質是高周低應力疲勞斷裂。
(2)該螺栓安裝沒有采取防松措施造成螺栓松動,應力集中的螺紋牙底受交變載荷作用而萌生疲勞裂紋,疲勞裂紋在交變載荷作用下不斷擴展,最后疲勞斷裂。
(3)加強安裝環節的管理,確保螺栓達到設計的預緊力,并采用適當的防松措施。
(4)為了增加螺栓抗疲勞性能,在螺栓加工過程中,可采用先熱處理后滾壓螺紋的工藝。






浙公網安備 33042402000106號 a>

